Implantologia
All on Four: denti fissi anche con poco osso
Indice
Implantologia All on four: quando c’è poco osso!

L’implantologia All on Four (letteralmente “tutto su quattro impianti”) rappresenta la soluzione più rapida e minimamente invasiva per ottenere denti fissi su impianti dentali anche quando c’è poco osso disponibile. In altre parole, con questa tecnica avanzata è possibile riabilitare un’intera arcata dentale con soli quattro impianti, evitando spesso complesse procedure di innesto osseo. La metodica All on Four è riconosciuta come soluzione “graftless” (senza innesto osseo) e consente di applicare una protesi fissa completa il giorno stesso dell’intervento.

La tecnica prevede l’inserimento di quattro impianti dentali in punti strategici dell’arcata edentula (priva di denti). Si tratta di quattro piccole viti in titanio inserite nell’osso mascellare e/o mandibolare che fungono da nuove radici per sostenere una protesi fissa completa. Statisticamente, chi ha un edentulia totale o parziale e già utilizza protesi mobili inadatte è destinato, col passare degli anni, alla dentiera tradizionale rimovibile. Quest’ultima, però, comporta numerosi disagi a chi la indossa e può causare ripercussioni psicologiche negative. Inoltre l’uso prolungato della dentiera mobile porta spesso a un riassorbimento accelerato dell’osso residuo della mascella o mandibola.
Per evitare la dentiera esistono oggi soluzioni fisse innovative: una di queste è proprio l’implantologia All on Four, che consente di tornare ad avere denti fissi e un sorriso completo anche in presenza di cresta ossea limitata. Presso lo Studio Dentistico Resta a Gioia del Colle in provincia di Bari, applichiamo con successo questa tecnica da molti anni, restituendo ai pazienti funzione masticatoria ed estetica in tempi rapidissimi. Immagina di sorridere di nuovo con sicurezza nel giro di 24 ore!

DENTI FISSI SU 4 IMPIANTI
CON POCO OSSO
La tecnica All on Four: come funziona
Il metodo All on Four rientra tra le procedure di implantologia a carico immediato (o, in alcuni casi selezionati, a carico differito). Ciò significa che, in un unico intervento chirurgico, si inseriscono quattro impianti dentali nelle posizioni più adatte della mascella o mandibola e, entro 24 ore, vi si fissa sopra una protesi fissa provvisoria. Due dei quattro impianti vengono posizionati in zona frontale in modo verticale, mentre gli altri due impianti sono inseriti in posizione posteriore inclinata (tilted implants). Questa inclinazione studiata degli impianti posteriori permette di ancorarsi meglio nelle zone dove l’osso è naturalmente più spesso (ad esempio anteriormente al seno mascellare nella mascella, o anteriormente al nervo alveolare inferiore della mandibola) e di evitare aree con poco osso, estendendo il sostegno della protesi fino ai settori posteriori senza bisogno di innesti aggiuntivi.
A differenza dell’implantologia tradizionale, la tecnica All on Four con carico immediato consente al paziente di riavere denti fissi in circa 24 ore. In una sola giornata vengono inseriti gli impianti e avvitata sopra di essi una protesi fissa provvisoria, senza dover attendere i 3-6 mesi di osteointegrazione (ossia l’attesa per far “attecchire” gli impianti nell’osso) prevista dai protocolli tradizionali. Con questa metodica, inoltre, si bypassano le aree con insufficiente supporto osseo, eliminando la necessità di interventi preliminari lunghi e invasivi come il grande rialzo del seno mascellare o innesti ossei autogeni. In pratica, All on Four permette spesso di evitare il trapianto di osso prima dell’implantologia, riducendo tempi, costi e disagi per il paziente.
Un altro aspetto vincente degli impianti dentali All on Four è che regalano al paziente un sorriso completamente rinnovato ma dall’aspetto naturale, con protesi personalizzate nell’estetica (forma e colore dei denti) per armonizzarsi con il volto. Molte volte questa tecnica rappresenta per i pazienti anziani o con gravi problemi dentali l’unica soluzione per tornare ad avere una protesi fissa saldamente ancorata. Non dovrai più preoccuparti di dentiere instabili o imbarazzanti: con quattro impianti ben posizionati, la tua nuova arcata di denti sarà stabile e confortevole.
Importante: l’implantologia All on Four a carico immediato è una procedura avanzata che richiede grande esperienza e precisione sia nella fase chirurgica che in quella protesica. I due impianti inclinati posteriori, in particolare, fungono da supporto essenziale per l’intera protesi e devono essere inseriti con un’angolazione e una stabilità perfette. Ecco perché è fondamentale affidarsi a professionisti con esperienza specifica in All on Four. Nel nostro studio vantiamo oltre 20 anni di esperienza nell’implantologia avanzata: adottiamo tutti gli accorgimenti necessari per gestire in sicurezza situazioni anatomiche delicate (come la vicinanza del seno mascellare o del nervo mandibolare) e garantire il successo dell’intervento. Studi scientifici internazionali confermano, del resto, l’elevato tasso di successo a lungo termine di questa tecnica: ad esempio, un follow-up a 10 anni su pazienti trattati con All on Four evidenzia una sopravvivenza implantare intorno al 95%. In mani esperte, dunque, l’All on Four è una procedura sicura, predicibile ed efficace nel lungo periodo.
A chi è indicata la tecnica All on Four
L’implantologia All on Four è indicata per pazienti che si trovano in queste situazioni:
pazienti con l’arcata edentula totale
pazienti con dentizione compromessa da parodontite grave
quando manca l'osso per le tecniche implantari tradizionali
- Arcata edentula totale: Pazienti che hanno perso tutti i denti di un’arcata (superiore o inferiore). In questi casi, l’All on 4 permette di sostituire la dentiera mobile con una protesi fissa su impianti, più confortevole e stabile.
- Dentizione compromessa da parodontite grave: Pazienti affetti da parodontite avanzata (piorrea) o altre patologie che hanno reso irrecuperabili la maggior parte dei denti residui. In tali casi spesso si procede con l’estrazione dei denti malati e, contestualmente, con la riabilitazione totale fissa tramite quattro impianti e protesi avvitata.
- Scarso supporto osseo per l’implantologia con tecniche tradizionali: Pazienti con poca quantità di osso mascellare/mandibolare, insufficiente per inserire un numero elevato di impianti tradizionali o impianti dritti. All on 4, grazie agli impianti inclinati, sfrutta al massimo l’osso disponibile e consente una riabilitazione fissa anche quando tecniche convenzionali richiederebbero innesti ossei o non sarebbero praticabili.
Prima di confermare la fattibilità di un impianto dentale All on Four, eseguiamo uno studio diagnostico approfondito. Presso il nostro studio, in un’unica seduta, realizziamo sia l’ortopantomografia digitale (radiografia panoramica) sia una TAC Cone Beam 3D a basse dosi, per valutare con precisione lo spessore e l’altezza dell’osso nelle varie zone dell’arcata. Questi esami ci permettono di pianificare l’intervento in dettaglio. In base alle immagini 3D, il dentista implantologo studierà la posizione ideale per ciascun impianto, evitando strutture delicate e massimizzando la stabilità.
Se il paziente ha ancora alcuni denti compromessi, verranno estratti durante la stessa seduta chirurgica in cui si inseriscono i quattro impianti (in modo del tutto indolore, sotto anestesia locale). In poche ore, dunque, si passa dall’avere denti malati o nessun dente, ad avere una protesi fissa avvitata sugli impianti. Il paziente esce dallo studio con un nuovo sorriso fisso provvisorio già nella giornata dell’intervento, evitando il disagio di rimanere senza denti. Dopo alcuni mesi, a guarigione avvenuta e completata l’osteointegrazione, la protesi provvisoria verrà sostituita con quella definitiva altamente resistente ed estetica.
(Ti riconosci in una di queste situazioni? Contattaci per una visita: valuteremo il tuo caso e ti consiglieremo la soluzione migliore).
L’intervento All on Four passo passo
Desideriamo ora descrivere, passo dopo passo, come si svolge un intervento di implantologia All on 4 presso la nostra clinica. È un procedimento rapido, eseguito in anestesia locale (eventualmente con sedazione cosciente su richiesta del paziente più ansioso), totalmente indolore e con disagi post-operatori davvero minimi rispetto alle tecniche tradizionali di implantologia. Ecco le fasi principali:
- Esami diagnostici iniziali: prima dell’intervento effettuiamo in studio tutti gli esami radiografici necessari. Oltre alla classica radiografia panoramica (OPT), realizziamo una TAC Cone Beam 3D per studiare tridimensionalmente l’osso residuo. Questi esami guidano la pianificazione e garantiscono che l’intervento sia sicuro e senza sorprese.
- Pianificazione virtuale computer-guidata: grazie a moderni software 3D di implantologia guidata, simuliamo l’intervento al computer. Inseriamo virtualmente gli impianti sul modello 3D dell’osso del paziente, scegliendo lunghezza, diametro, posizione e inclinazione ottimali. In questa fase virtuale evitiamo le aree a rischio (come nervi o seni mascellari) e individuiamo gli assi ideali degli impianti, anche in funzione della posizione dei denti della futura protesi. Ciò ci consente di pianificare tutto con estrema precisione prima ancora di toccare il paziente.
- Dima chirurgica personalizzata: una volta definito il progetto implantare virtuale, i dati vengono inviati a un centro specializzato che produce una dima chirurgica personalizzata tramite tecnologia CAD/CAM. Questa guida chirurgica, creata su misura per la bocca del paziente, presenta fori calibrati attraverso cui inserire gli impianti esattamente nelle posizioni pianificate. Nel giorno dell’intervento, dopo aver anestetizzato localmente la zona, applichiamo la dima in bocca al paziente per procedere con la chirurgia guidata.
- Inserimento degli impianti senza bisturi (tecnica flapless): grazie alla dima chirurgica, non è necessario incidere né scollare le gengive con il bisturi. Si praticano solo piccoli fori attraverso la mucosa (tecnica transmucosa “flapless”) e si inseriscono gli impianti nelle sedi precise. Questa procedura guidata è rapidissima e mini-invasiva: evita tagli e punti di sutura, riducendo drasticamente trauma, sanguinamento e gonfiore post-operatorio rispetto alla tecnica tradizionale a lembo aperto. In molti casi non si manifestano affatto i classici gonfiori o lividi dopo l’intervento, e il paziente riferisce un decorso estremamente confortevole.
- Applicazione immediata della protesi fissa provvisoria: una volta posizionati i quattro impianti, nella stessa seduta procediamo a collegare la protesi fissa provvisoria. Si tratta di una protesi completa avvitata sugli impianti attraverso piccoli perni passanti. In questo modo, il paziente esce già con i “denti nuovi” fissati in bocca (e potrà sorridere e alimentarsi già dal giorno successivo con le dovute accortezze). Questo protocollo è detto a carico immediato, proprio perché non c’è attesa tra chirurgia e protesi: tutto avviene immediatamente.
- Controllo radiografico finale: a completamento dell’intervento, eseguiamo una radiografia di controllo (OPT) per verificare l’esatto posizionamento dei quattro impianti. Spesso si noterà che i due impianti posteriori sono inclinati verso la parte posteriore dell’arcata (tilted implants), confermando il caratteristico assetto “a V rovesciata” dell’All on 4.
L’intera procedura chirurgica di solito dura solo 1-2 ore, a seconda della complessità (estrazioni eventuali comprese). Sorprendentemente, già dal giorno successivo la maggior parte dei pazienti è in grado di riprendere le normali attività quotidiane e lavorative, sperimentando da subito i benefici estetici e funzionali dei nuovi denti fissi. Ovviamente sarà importante seguire le indicazioni post-operatorie che forniamo: ad esempio assumere eventuali farmaci prescritti (antibiotici, antidolorifici), seguire una dieta morbida per i primi giorni e mantenere una buona igiene orale. Ma rispetto alle tecniche tradizionali, il post-operatorio dell’All on Four è decisamente più breve e poco impegnativo. Molti pazienti rimangono stupiti da quanto poco dolore e gonfiore avvertano dopo un intervento così risolutiv
o.
Qualità dei materiali nell’All on Four
Il successo di una riabilitazione All on 4 dipende certamente dalla tecnica e dall’esperienza del chirurgo, ma anche dalla qualità dei materiali utilizzati – sia per gli impianti che per la protesi. Nel nostro studio scegliamo impianti dentali di altissima qualità certificata, in titanio medicale di grado elevato, prodotti da aziende leader. Questo perché gli impianti inclinati posteriori nell’All on Four sono sottoposti a carichi masticatori importanti (sorreggono metà arcata ciascuno) e devono garantire resistenza meccanica nel tempo: un impianto di bassa qualità potrebbe rischiare fratture o insuccessi precoci.
Anche la protesi fissa svolge un ruolo cruciale: deve essere robusta, ben bilanciata e realizzata con materiali affidabili. Spesso per le arcate complete utilizziamo strutture interne metalliche su cui vengono poi applicati denti in ceramica o in zirconia stratificata. La zirconia-ceramica è un materiale eccellente per estetica e resistenza, ma dev’essere supportata da una struttura adeguata per evitare rotture.
Un dettaglio tecnico importante: noi preferiamo consegnare protesi avvitate sugli impianti anziché cementate. L’avvitamento diretto evita l’uso di cementi dentali sotto gengiva (che col tempo potrebbero causare irritazioni o infiammazioni se residuano nel solco gengivale). Inoltre una protesi avvitata può essere eventualmente rimossa con facilità dallo specialista per manutenzioni o controlli, senza dover “spaccare” o forzare nulla (come invece accadrebbe con una protesi cementata). Questo approccio garantisce quindi maggiore salubrità per i tessuti gengivali intorno agli impianti e anche una gestione più semplice di qualsiasi ritocco futuro. Nel nostro studio ogni lavoro è consegnato con un passaporto implantare e la certificazione dei materiali protesici utilizzati, a tutela del paziente e della trasparenza.
All on 4 senza gengiva finta: estetica naturale
Una domanda frequente riguarda l’eventuale presenza di gengiva artificiale rosa sulla protesi All on Four. In alcuni casi, soprattutto quando l’osso e i tessuti si sono molto riassorbiti, le protesi su impianti completi presentano una flangia rosa che simula la gengiva mancante. Tuttavia, realizziamo spesso protesi All on 4 senza gengiva finta, ottenendo un’estetica straordinariamente naturale. Questa opzione protesica avanzata evita l’antiestetica “fascia rosa” visibile quando si ride, risultando praticamente identica a una dentatura naturale che emerge dalle proprie gengive.
Ovviamente la fattibilità di un’All on 4 senza gengiva finta dipende dal caso clinico: serve che il sorriso del paziente non mostri troppo la zona gengivale e che sia possibile realizzare denti di dimensioni appropriate per compensare la perdita di tessuto. Quando le condizioni lo permettono, però, preferiamo garantire protesi totalmente bianche (solo denti) per un risultato estetico ottimale. Il vantaggio è duplice: un aspetto più realistico e la sensazione per il paziente di “avere veramente i propri denti” in bocca, senza alcuna protesi visibile. Durante la visita pre-operatoria valuteremo anche questo aspetto estetico, concordando con il paziente la soluzione migliore in base alle sue aspettative di sorriso.
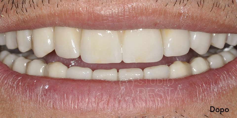
Alcuni casi di implantologia All on Four
trattati con successo




All on Four Senza Gengiva Finta
L’implantologia All on Four senza gengiva finta è un’opzione protesica che non prevede l’utilizzo sulle protesi dentali di gengiva artificiale. Questo approccio consente un’estetica migliore e soprattutto un aspetto più naturale delle protesi in modo da renderle perfettamente mimetizzabili.
Vantaggi dell’implantologia All on Four
Perché scegliere la tecnica All on Four rispetto ad altre soluzioni? Ecco un riepilogo dei principali vantaggi di questa metodica innovativa:
Solo 4 impianti per arcata
Il numero ridotto di impianti necessari permette di contenere sia l’invasività chirurgica che i costi complessivi. Si evitano complessi interventi per inserire 6-8 impianti per arcata come nelle tecniche tradizionali, concentrando tutto su quattro pilastri strategici. Meno impianti = chirurgia più semplice e veloce, con minor trauma per il paziente.
Possibilità di riabilitare anche con poco osso
L’All on Four è nata proprio per i casi di scarsa disponibilità ossea. Grazie ai due impianti posteriori inclinati, è possibile ancorarsi nelle porzioni di osso ancora presenti ed evitare zone atrofiche. In tal modo si può ottenere una protesi fissa anche in pazienti che altrimenti sarebbero condannati a portare la dentiera oppure a sottoporsi a innesti d’osso e lunghe attese. In molti casi si riesce a evitare completamente procedure come innesti ossei, rigenerazioni o rialzi di seno mascellare.
Riabilitazione immediata e in tempi brevi
Con la tecnica All on Four a carico immediato tutto avviene in una sola seduta chirurgica e in poche ore. Il paziente viene in studio la mattina (eventualmente estrae eventuali denti residui compromessi), riceve gli impianti e già nel pomeriggio/sera ha la sua nuova protesi fissa avvitata. In circa 24 ore dunque si passa da una bocca senza denti (o con denti malmessi) a un sorriso completo fisso. Anche considerando la protesi definitiva dopo qualche mese, l’intero trattamento dall’inizio alla fine si completa nell’arco di pochi mesi, molto meno rispetto a percorsi tradizionali con innesti e guarigioni che possono durare un anno.
Intervento mini-invasivo e indolore:
L’implantologia computer-assistita All on Four si esegue normalmente in anestesia locale (come una normale cura dentistica) e grazie alla chirurgia guidata flapless non richiede punti di sutura. Questo comporta pochissimi traumi post-operatori: i classici dolori, gonfiori o ematomi che a volte compaiono con la chirurgia tradizionale qui sono ridotti al minimo. Il paziente spesso rimane stupito di quanto bene si sente già il giorno successivo, potendo riprendere da subito a sorridere e a svolgere le sue attività quotidiane senza problemi.
Nessun innesto osseo preventivo
Come detto, All on Four consente di evitare pesanti trattamenti preliminari come prelievi d’osso o rigenerazioni ossee che altrimenti sarebbero necessari per posizionare molti impianti. Non dovendo affrontare questi interventi aggiuntivi (che sono invasivi e richiedono mesi di guarigione ciascuno), i tempi e i costi dell’intero trattamento si riducono sensibilmente. Il paziente beneficia di una soluzione più semplice e rapida verso il suo nuovo sorriso fisso.
Sicurezza chirurgica
Operando con una guida chirurgica e inclinando gli impianti strategicamente, si evitano zone a rischio come il seno mascellare (nella mascella superiore) o il nervo mandibolare (nella mandibola inferiore). In questo modo l’intervento è molto sicuro, riducendo praticamente a zero il rischio di ledere strutture anatomiche importanti. Anche in presenza di atrofie ossee, con l’All on 4 si possono spesso aggirare gli ostacoli e posizionare impianti lunghi in aree stabili (nei mascellari anteriori o in arcata inferiore).
Risultato estetico immediato e soddisfacente
L’implantologia All on Four a carico immediato garantisce un’estetica eccellente fin da subito. La protesi fissa provvisoria applicata immediatamente è già bella e funzionale, realizzata con materiali estetici di alta qualità (resine ad alta densità estetica, oppure successivamente ceramica su zirconia per la definitiva). Il paziente può uscire di qui e tornare a sorridere liberamente senza imbarazzi, abbandonando per sempre la vecchia dentiera. Il miglioramento estetico e psicologico è spesso sorprendente e immediato.
Come si può notare, i benefici dell’All on Four sono molteplici. Non sorprende che sempre più persone scelgano questa tecnica per riavere denti fissi in modo rapido e con il minimo disagio. Ovviamente è fondamentale che l’indicazione sia posta correttamente e che la procedura venga eseguita da professionisti qualificati, ma quando ciò avviene le prospettive di successo sono altissime e i pazienti tornano a masticare e sorridere con piena soddisfazione.
Durata e mantenimento degli impianti All on Four
Quanto dura un impianto All on Four? Questa è una domanda che tutti i pazienti giustamente si pongono. La risposta è molto incoraggiante: se il lavoro è eseguito a regola d’arte e se il paziente mantiene una buona cura della propria bocca, gli impianti All on 4 possono durare anche tutta la vita. Non c’è un limite prefissato di “scadenza”. Diversi fattori contribuiscono alla longevità dell’All on Four:
- Competenza del chirurgo e qualità dei materiali: come già sottolineato, l’esperienza dell’implantologo nel pianificare e inserire correttamente gli impianti è fondamentale. Un’ottima esecuzione chirurgica unita all’uso di impianti e componenti protesiche di qualità certificata crea le premesse per un lavoro duraturo. Ad esempio, esistono diverse qualità di zirconia e titanio: noi scegliamo sempre quelle con le migliori caratteristiche di resistenza ed estetica, per assicurare che né impianti né denti protesici subiscano danneggiamenti nel tempo.
- Igiene orale e controlli regolari: il ruolo del paziente nel mantenere la salute dell’All on 4 è cruciale. È necessario adottare una scrupolosa igiene orale quotidiana, pulendo con cura sia i denti protesici sia la zona intorno agli impianti (utilizzando spazzolino, scovolini interdentali, filo interdentale apposito e collutori se consigliati). Inoltre, si raccomandano visite di controllo periodiche dal dentista (almeno ogni 6 mesi) per eseguire sedute di igiene professionale e monitorare la salute degli impianti. In questo modo si previene la perimplantite, un’infiammazione dei tessuti intorno all’impianto causata dall’accumulo di placca batterica, che rappresenta una delle poche minacce serie per la longevità degli impianti. Una bocca pulita e controllata difficilmente andrà incontro a problemi di questo tipo.
In conclusione, un impianto All on Four eseguito correttamente e ben mantenuto non ha virtualmente limiti di durata. Può davvero accompagnare il paziente per decenni, restituendogli una qualità di vita quasi pari a quella dei denti naturali. Nel nostro studio vantiamo casi di pazienti riabilitati con All on 4 da molti anni che continuano a godere di denti fissi funzionanti perfettamente. Offriamo inoltre programmi di richiamo e mantenimento per seguire nel tempo i nostri pazienti, così da preservare il loro investimento in salute e sorriso.
(Vuoi assicurarti che il tuo impianto duri il più a lungo possibile? Ti forniremo tutte le istruzioni personalizzate per la pulizia e rimarremo a disposizione per i controlli periodici post-intervento.)
Prezzo dell’All on Four
Quanto costa una riabilitazione All on 4? I prezzi dell’implantologia All on Four possono variare in base a diversi fattori, tra cui la qualità dei materiali impiegati, l’esperienza e la specializzazione del chirurgo implantologo, l’eventuale utilizzo di tecnologia computer-guidata e il tipo di protesi scelta (provvisoria e definitiva). Orientativamente, il costo medio di un trattamento All on Four “chiavi in mano” (cioè per un’arcata completa, comprensivo di intervento e protesi definitiva) può oscillare tra circa 8.000 e 13.000 euro per arcata.
Questa forbice di prezzo dipende, ad esempio, dal fatto che una soluzione a carico immediato computer-assistita (con dima chirurgica personalizzata) comporta costi di laboratorio e tecnologie maggiori rispetto a un approccio tradizionale. Anche la scelta di materiali protesici top di gamma (come una struttura in titanio con denti in zirconia-ceramica) incide sul prezzo, ma offre una durata e un’estetica superiori rispetto a soluzioni più economiche. In ogni caso, diffidate di preventivi troppo bassi rispetto a questa media: un prezzo insolitamente basso potrebbe significare compromessi su qualità dei materiali o sull’esperienza di chi esegue il lavoro, con i rischi che vedremo tra poco.
Nel nostro studio forniamo preventivi chiari e personalizzati dopo un’accurata visita, illustrando al paziente tutte le voci (impianti, intervento, protesi provvisoria e definitiva, ecc.). Inoltre offriamo la possibilità di pagamenti dilazionati e soluzioni finanziarie flessibili per venire incontro alle esigenze di ciascuno (vedi oltre la sezione “Posso pagare a rate?”). L’obiettivo è rendere accessibile questa soluzione rivoluzionaria senza compromettere la qualità: il tuo sorriso e la tua salute meritano il meglio.
Attenzione ai prezzi troppo bassi: rischi nascosti
Allettato da un prezzo stracciato per un All on 4? È comprensibile voler risparmiare, ma bisogna fare attenzione: in implantologia, la qualità ha un costo e rincorrere l’offerta più economica in assoluto può esporre a seri rischi e brutte sorprese. Ecco alcuni pericoli di un’implantologia All on Four a basso costo eseguita con superficialità o materiali scadenti:
- Pianificazione corretta e impianti mal posizionati: se i quattro impianti non vengono inseriti esattamente nei punti giusti e con la giusta inclinazione, la protesi che vi si avvita potrebbe subire sollecitazioni eccessive. Basta inclinare troppo un impianto, oppure posizionarli troppo vicini, per creare un’arcata protesica con sbalzi eccessivi non supportati: ciò aumenta il rischio di frattura della protesi sotto carico o di stress sugli impianti che potrebbero rompersi o andare incontro a periimplantite.. Un implantologo poco esperto nella tecnica potrebbe commettere questi errori di valutazione.
- Materiali scadenti o non certificati: impianti di qualità inferiore, magari non marcati CE o di produzione non controllata, possono non osteointegrarsi bene o addirittura rompersi sotto carico. Analogamente, una protesi realizzata con materiali poveri o senza un adeguato supporto interno può scheggiarsi, consumarsi o rompersi in breve tempo. Questi problemi portano a dover rifare il lavoro da capo, vanificando qualsiasi risparmio iniziale.
- Perimplantite e perdita precoce degli impianti: se l’esecuzione non è accurata, possono crearsi zone difficili da pulire o tensioni eccessive sul tessuto osseo. Ciò facilita l’insorgere di infezioni e infiammazioni attorno agli impianti (perimplantite), che possono progredire fino al fallimento dell’impianto stesso. In alcuni casi, la perdita di un impianto All on 4 compromette tutta la protesi e comporta non solo rifare il lavoro, ma anche una ulteriore perdita di osso nella zona, complicando ancora di più eventuali nuovi interventi.
- Assistenza post-vendita assente: spesso chi propone prezzi stracciati non offre poi un’adeguata assistenza nei controlli successivi, oppure utilizza componenti così particolari che altri dentisti non sono in grado di intervenire in caso di problemi (o non vogliono assumersi la responsabilità su impianti “sconosciuti”). Il paziente rischia di trovarsi abbandonato se qualcosa va storto.
In sintesi, meglio diffidare di prezzi fuori mercato. Un trattamento All on Four eseguito a regola d’arte richiede competenze specialistiche, tecnologie avanzate e materiali certificati: tutti elementi che hanno un costo. Questo investimento però tutela la salute del paziente e la durata nel tempo del lavoro. Come si suol dire, “chi più spende, meno spende”: vale la pena scegliere la qualità una volta sola, anziché ritrovarsi a dover rifare tutto a proprie spese qualche anno dopo. Il nostro studio garantisce elevati standard qualitativi e trasparenza: ogni riabilitazione viene consegnata con passaporto implantare e certificazioni, così che il paziente abbia nero su bianco la provenienza di impianti e protesi, a garanzia della sicurezza e tracciabilità del lavoro.
FAQ – Domande Frequenti sull’Implantologia All on Four
No. L’intervento viene eseguito in anestesia locale (e, se desideri, anche con sedazione cosciente). La tecnica guidata All on 4 è mini-invasiva: non servono bisturi né punti di sutura, quindi dolore e gonfiore sono ridotti al minimo.
Con la tecnica All on Four a carico immediato, potrai avere una protesi fissa provvisoria già entro 24 ore dall’intervento. Dopo alcuni mesi, riceverai la protesi definitiva, robusta ed estetica.
Sì. L’All on Four è studiato proprio per pazienti con poco osso, grazie all’inserimento di impianti inclinati che sfruttano al meglio le aree ossee disponibili senza necessità di innesti.
A differenza della dentiera, l’All on Four offre denti fissi e stabili, che non si muovono, non richiedono adesivi e ti permettono di parlare e masticare con sicurezza. Inoltre, preservano meglio l’osso residuo.
Con materiali certificati, un intervento ben eseguito e una buona igiene orale, un impianto All on Four può durare anche tutta la vita. I controlli periodici aiutano a mantenerne la salute a lungo termine.
Il costo medio per un’arcata completa varia tra 8.000 e 13.000 euro, in base ai materiali e al tipo di protesi scelti. Offriamo preventivi personalizzati e possibilità di pagamenti rateali fino a 84 mesi.
Sì. Con PagoDil puoi pagare in 12-24 mesi senza interessi, senza bisogno di busta paga. In alternativa, disponiamo di piani di finanziamento fino a 84 mesi con condizioni agevolate.
È ideale per pazienti senza denti, con denti compromessi da parodontite o con poco osso. Sarà comunque necessario uno studio radiografico 3D per confermare la fattibilità del trattamento.
In media da 1 a 2 ore. Si tratta di una procedura rapida e sicura, svolta in anestesia locale. Già dal giorno successivo potrai tornare alla tua vita quotidiana con denti fissi e un sorriso rinnovato.
Perché vantiamo oltre 20 anni di esperienza in implantologia avanzata, utilizziamo solo impianti e materiali certificati e offriamo assistenza completa post-intervento. Il nostro obiettivo è restituirti un sorriso sicuro, bello e duraturo.
Posso pagare senza fare finanziamenti?
Modalità di pagamento dello studio Resta:
1° modalità: rateizzazione in 12 o 24 mesi a ZERO INTERESSI (PagoDil)
Paghi il lavoro in un anno o più con zero interessi, zero costi, zero spese di apertura pratica e zero spese incasso rata. Non c’è bisogno di fare finanziamenti quindi non serve busta paga.

2° modalità: rateizzazione fino a 84 mesi
E’ possibile pagare anche con una rateizzazione maggiore, fino a 84 mesi, accedendo ad un finanziamento (elaborato direttamente in studio), tramite società finanziarie convenzionate, con interessi agevolati e zero anticipo.
Argomenti correlati
Se sei interessato all’implantologia All on Four, il passo successivo è prenotare una visita di valutazione nel nostro studio. Potrai contattarci in qualunque momento ai seguenti recapiti telefonici:
+39 080.3483891 | +39 320.7513223
Il nostro staff ti fornirà tutte le informazioni necessarie e fisserà un appuntamento nel più breve tempo possibile, compatibilmente con i tuoi impegni. In alternativa, puoi compilare il form di contatto sul nostro sito inserendo i tuoi dati e una breve descrizione del caso: ti ricontatteremo noi per concordare la visita. Durante la prima visita, il dott. Resta valuterà lo stato della tua bocca, ascolterà le tue esigenze e ti proporrà il piano di cura più adatto (senza alcun impegno da parte tua). È l’occasione giusta per capire se l’All on 4 fa per te e per risolvere ogni dubbio di persona.
Indice
Testimonianze
Studio Dentistico Resta | Implantologia anche senza osso 41 recensioni su GooglePubblicato su vittoria palmisano Sono sempre stata un po' ansiosa all'idea di andare dal dentista,ma la mia recente esperienza di pulizia dentale presso il dott.Resta è stata sorprendentemente piacevole e confortante. Fin dal momento in cui sono entrata nello studio,sono stata accolta da un'atmosfera rilassante e da uno staff cordiale e professionale.Il dottore è stato particolarmente gentile e paziente, spiegandomi nel dettaglio la procedura e rispondendo a tutte le mie domande. La pulizia è stata accurata e delicata, e ho apprezzato molto l'attenzione che è stata dedicata non solo alla rimozione del tartaro e della placca, ma anche alla salute delle mie gengive. Mi hanno dato anche utili consigli su come mantenere una corretta igiene orale a casa. Dopo la pulizia, i miei denti sembravano più bianchi e luminosi, e la mia bocca aveva una piacevole sensazione di freschezza. Ma al di là dell'aspetto estetico, sono uscita dallo studio con la consapevolezza di aver fatto qualcosa di importante per la mia salute orale. Lo consiglio vivamente a chiunque cerchi un'esperienza di pulizia dentale professionale e accurata.Personalmente, tornerò sicuramente per i miei controlli di routine.Pubblicato su bea mastrangelo Un plauso a tutto lo staff... Dal dottor Resta a Maria e Mary... Molto professionali e simpatici.. Rivolgetevi a loro con fiducia... Troveranno la soluzione giusta per restituire il sorriso qualunque sia la situazione inizialePubblicato su Vanni Donvito Rasserena e rassicura stabilizzandoti nel sorriso!Pubblicato su Tiziana Carmen Tamburrino Ottima esperienza, consiglio questo studio. Mi sono affidata a mani esperte con ottimi risultati per la cura della paradontite e atri piccoli interventi.Pubblicato su Antonia Romano Un professionista serio e scrupoloso come pochi a capo di uno staff eccezionale.Ha risolto un problema che mi portavo dietro da anni e che nessuno si era mai curato di risolvere.Vale davvero la pena usufruire di una sua consulenza e la cosa più rassicurante e’ che, anche dopo, c’è un’assistenza unica.Grazie di cuore allo studio dentistico Resta….sorridere e’ bellissimo!Pubblicato su Giuseppe Calderoni tutto fertetto ,proffesionalita gentilezza il topPubblicato su Titti Carriero Ho appena fatto una protesi dentale fissa con i miei denti fatti a perno..nn ci dormo più la notte.mi hanno combinata male. Voglio sapere se lei è in grado di togliere dalla mia bocca. X favore mi aiuti. Grazie. Sono di Grottaglie ta. Può rispondere quando è libero.Pubblicato su Aysha Aysha Studio dentistico che io consiglio,il dottore è serio e professionale,gentili e accoglienti tutti.Ritorno volentieriPubblicato su Pina Competenza e professionalità per chi dovesse avere problemi seri in bocca ma anche per chi volesse un sorriso bellissimo solo per estetica. Non da poco i collaboratori accoglienti e professionali. Consiglio sicuramente!Pubblicato su Angela Oliv Svolge la sua professione in modo serio ed efficace. Educazione e rispetto sono le caratteristiche che fanno da capolinea.
