HAI TRASCURATO IL TUO SORRISO?
STOP a brutti sorrisi, dentiere e piorrea
Vent'anni di esperienza nell'implantologia dentale e nella riabilitazione estetica

Per te denti fissi su impianti in poche ore anche quando manca osso

Ritrova la tua fiducia con un nuovo sorriso attraverso i trattamenti d'implantologia di ultima generazione, SENZA incisioni e punti di sutura.
Effettuiamo il carico immediato utilizzando la tecnica della computer guidata.
- Protesi fissa in poche ore su impianti e denti naturali
- Implantologia computer assistita a carico immediato
- Implantologia senza incisioni e senza dolore
- Impianti con poco osso e anche quando manca osso
- Lividi e gonfiori post operatori ridotti al minimo
- Qualità italiana e tariffe competitive!
- Puoi pagare a rate SENZA finanziamenti e senza BUSTE PAGA (novità)
Richiedi informazioni

Basta dolori, gonfiori e punti di sutura
Gli impianti dentali vengono inseriti in anestesia locale pertanto durante l’intervento d’implantologia computer guidata non si avverte alcun dolore. Non si incidono le gengive per cui non si applicano punti di sutura. I disagi post operatori come lividi, gonfiori e dolori sono ridotti al minimo o del tutto inesistenti.

I tuoi nuovi denti fissi in poche ore
Con la tecnica dell’implantologia a carico immediato nella stessa giornata (o a distanza di 24 ore) in cui si inseriscono gli impianti viene avvitata una protesi fissa provvisoria. Dopo due mesi, a osteointegrazione avvenuta, viene presa l’impronta per la protesi fissa definitiva. In caso di denti naturali non in ottime condizioni estetiche in poche ore li rivestiamo con una protesi provvisoria fissa di ultima generazione e con elevata performance estetica. Implantologia

Impianti anche quando c'è poco osso o senza osso
CCon la tecnica computer assistita (All on 4 – All on 6) è possibile inserire, nella maggior parte dei casi, gli impianti a carico immediato anche dove c’è poco osso risparmiando così al paziente complicati e lunghi interventi chirurgici preliminari. NOVITÀ: è possibile avere i denti fissi lo stesso giorno dell’intervento anche in assenza di osso (* implantologia iuxtaossea e implantologia zigomatica). Poche ore per avere denti fissi e masticare immediatamente. Sembra un sogno ma nel nostro studio è realtà.

Impianti biocompatibili
e osteointegrabili
Gli impianti che utilizziamo sono certificati e la loro moderna superficie favorisce l’osteointegrazione. Le percentuali di successo pertanto, in base alla letteratura scientifica internazionale, sono pari al 98%. Quando, seppur raramente, capita un fallimento, l’impianto viene sostituito e la protesi fissa provvisoria riadattata, senza alcun aggravio di costi. Non esiste il “rigetto“. Implantologia.
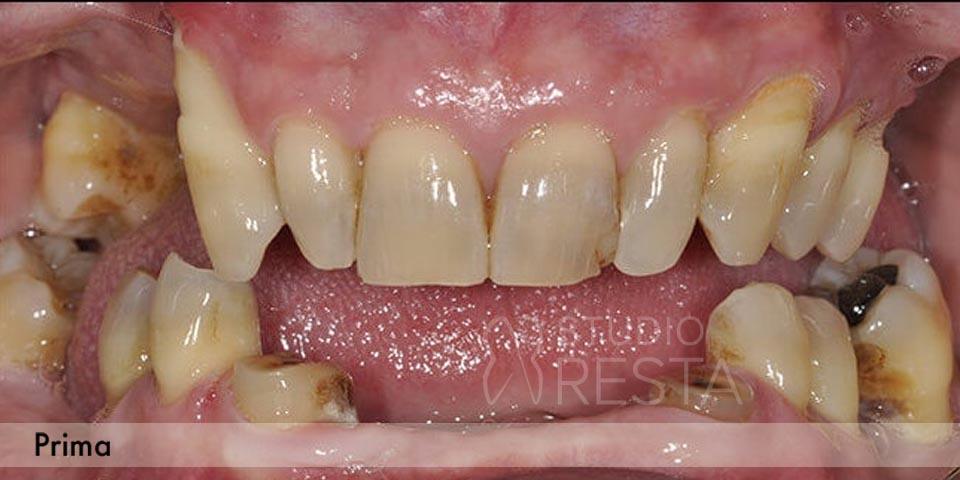
Alcuni casi clinici risolti con l'Implantologia (prima e dopo)






Con un'esperienza di oltre 20 anni pratichiamo nei nostri
due studi le seguenti tecniche d'implantologia:
Implantologia moderna computer assistita
(senza incisioni e punti di sutura)
Implantologia con poco osso
(All on 4 e All on 6)
Implantologia iuxtaossea senza osso
(in caso di grosse atrofie e riassorbimenti ossei)
Implantologia tradizionale
Protesi fissa estetica su impianti e denti naturali (*)
(*)quando possibile recuperiamo i denti naturali rispettando i principi etici e deontologici ripristinando sorrisi meravigliosi.


Implantologia iuxtaossea
(quando non c'è osso)
Da alcuni anni gli studi scientifici e il progresso della tecnologia hanno dato la possibilità di una protesi fissa anche a quei pazienti che hanno perso molto osso.
A tal proposito esistono diverse metodiche implantari come il rialzo del seno mascellare, gli impianti zigomatici, l’innesto di osso sintetico ma la soluzione che di gran lunga preferiamo è l’implantologia iuxtaossea in quanto, senza dover aspettare molti mesi, consente di indossare una protesi fissa lo stesso giorno dell’intervento anche quando non c’è osso.
Grazie ad una Tac Cone Beam (fatta direttamente nel nostro studio), a software particolari e al sistema CAD CAM si realizzano impianti in titanio personalizzati che anziché essere collocati all’interno vengono applicati sulla superficie esterna del poco osso residuo.
Guarda il video per scoprire i dettagli della tecnica implantare che NON prevede l'incisione delle gengive
Attraverso l’uso di una radiografia 3D ed un software dedicato siamo in grado di progettare e realizzare in 24-48 ore una protesi fissa su impianti, SENZA APRIRE LE GENGIVE e SENZA PUNTI DI SUTURA (*).
(*) Questa tecnica non è applicabile a tutti i pazienti. Per tale ragione è fondamentale la prima visita in studio.
Richiedi un appuntamento per una visita in studio ed un preventivo!
Lascia i tuoi dati, ti ricontatteremo in meno di 24 ore.
Durante la prima visita chiariremo ogni dettaglio sui nostri trattamenti e ti forniremo un preventivo personalizzato.
Il successo nel tempo degli impianti dentali dipende oltre che dal lavoro del dentista implantologo anche dalla qualità e dalla tipologia del lavoro protesico; pertanto consapevoli di ciò e servendoci dell’eccellenza dei laboratori odontotecnici italiani eseguiamo e garantiamo le seguenti tipologie di protesi fisse su impianti e denti naturali:

- protesi fissa in zirconia monolitica
- protesi fissa in zirconia ceramica
- protesi fissa in metallo ceramica
- protesi fissa in metallo composito

I 7 motivi per scegliere lo studio del dott. Resta

Storia clinica
Ascolteremo attentamente la tua storia clinica
Radiografie
Vedremo le tue vecchie radiografie o te ne faremo delle nuove. Eseguiamo direttamente in studio le radiografie OPT (panoramiche) e/o la Tac Cone Beam 3D
Pre-visualizzazione del futuro sorriso
Attraverso un software e delle foto particolari scattate in studio elaboriamo in tempo reale quale sarà il tuo futuro sorriso.
Casi risolti
Vedrai le foto di decine di casi simili al tuo, brillantemente risolti
Situazione dentale
Verificheremo la tua situazione dentale. Se possibile cercheremo di salvare i tuoi denti.
Dettagli e tempi
Risponderemo a tutte le tue domande e ti esporremo con precisione i dettagli ed i tempi necessari a completare il trattamento
Modalità di pagamento
Ti indicheremo le modalità di pagamento più conformi alle tue esigenze potendo usufruire, direttamente nei nostri studi con possibilità di rateizzare senza buste paga (novità), senza finanziamenti e senza interessi


Studio Resta
Professionalità e qualità
Lo studio dentistico del dott. Leonardo Resta opera sul territorio dal 2002 in due accoglienti strutture con tre sale operative ciascuna, pensate per offrire, avvalendosi delle più moderne tecnologie, un’odontoiatria di qualità: pensiamo infatti che l’eccellenza sia un requisito fondamentale per garantire ai nostri pazienti risultati stabili e durevoli nel tempo.
Il dott. Leonardo Resta non delega il lavoro implanto-protesico a nessun giovane collaboratore ma preferisce seguire direttamente i suoi pazienti dall’inizio alla fine della riabilitazione sia dal punto di vista implantare che dal punto di vista protesico.
Domande frequenti (F.A.Q.)
Il nostro è uno studio che si fonda sul rapporto di fiducia tra medico e paziente pertanto i preventivi sono dei preventivi personalizzati.
Il dr. Resta, esperto in implantologia e titolare della struttura, visita direttamente i suoi pazienti nel proprio studio dedicando il tempo necessario ad esaminare attentamente il caso clinico e ad ascoltare le singole richieste.
Una prima visita potrebbe durare anche un’ora.
Può capitare durante la visita, per esempio, che dei denti ormai dati per spacciati, si possano recuperare riducendo notevolmente il costo di una riabilitazione implantare.
I pazienti che ci chiedono dei preventivi tramite telefono o con una email, inviando una semplice radiografia o indicando arbitrariamente e autonomamente le terapie da effettuare, NON ci interessano.
La qualità e l’esperienza acquisita dopo tanti anni di successi non ci lasciano il tempo necessario per curare quei pazienti che scelgono il dentista solo ed esclusivamente in base alla parcella. Ci occupiamo di salute e non di altro.
Tuttavia vi garantiamo che i nostri costi, rapportati alla qualità delle prestazioni offerte, sono assolutamente competitivi.
Costi
I costi dei nostri trattamenti implantari sono molto convenienti se paragonati alla qualità, all'assistenza post trattamento e alla garanzia italiana offerta. Le cifre sono molto variabili e dipendono dal tipo d'intervento eseguito, dal numero degli impianti e dalla tipologia di protesi fissa.
Se si vuole un preventivo preciso e dettagliato è necessaria una visita preliminare in studio con il dott. Leonardo Resta.
Modalità di pagamento
Ecco un esempio di modalità di pagamento su una spesa media di trattamento implantare nel nostro studio:
1° modalità
Rateizzazione in 12-24 mesi a ZERO SPESE (APPago)
€ 1.500 acconto iniziale
€ 5.000 (416,16 euro al mese) in 12 mesi con Zero interessi, Zero costi, Zero buste paga, Zero spese di apertura pratica e Zero spese incasso rata. Disponibilità immediata!
2° modalità
Rateizzazione fino a 84 mesi ad interesse agevolato
È possibile pagare anche con una rateizzazione fino a 84 mesi accedendo ad un finanziamento (elaborato direttamente in studio), tramite società finanziarie convenzionate, con INTERESSI AGEVOLATI e ZERO ANTICIPO. Per esempio è possibile avere i l servizio base che prevede una protesi fissa su impianti per un’intera arcata con soli € 95 mensili e ZERO ACCONTO iniziale.
Molti pazienti spesso ci dicono che il loro dentista non ha trovato l'osso. In realtà, alcune volte, l'osso bisogna cercarselo. Questo lo si può fare solo con la Tac Cone Beam 3D attraverso la quale riusciamo a vedere lo spessore, la grandezza, il volume e la profondità dell'osso in cui dovremo inserire gli impianti
Grazie all'immagine della Tac tridimensionale (che eseguiamo in studio) e ad un software particolare studiamo il volume dell'osso disponibile e valutiamo l'inserzione degli impianti utilizzando la tecnica dell'All on Four.
Anche se trattasi di un'eventualità molto rara può succedere che un paziente, per svariati motivi, non abbia osso per poter mettere gli impianti. In tali circostanze preferiamo, alla ricostruzione dell'osso che non dà risultati buoni a lungo termine e richiede tempi più lunghi, l'uso degli impianti iuxtaossei detti anche impianti sotto periostei. Si tratta di griglie in titanio elaborate con il sistema CAD - CAM e la TAC 3D che vengono avvitate sulla superficie esterna dell'osso anziché essere inserite al suo interno. Nello stesso giorno dell'intervento, anch'esso effettuato in anestesia locale, viene montata una protesi fissa a carico immediato.
Il nostro studio effettua la ricostruzione dell'osso mediante l'uso di tecniche chirurgiche moderne. Preferiamo però limitare questa pratica soltanto ad alcuni casi specifici cioè quando la mancanza di osso interessa zone circoscritte dell'arcata superiore o dell'arcata inferiore. Quando, invece, la riduzione di osso è piuttosto estesa, per evitare interventi lunghi e dolorosi ai nostri pazienti, preferiamo utilizzare gli impianti iuxtaossei (impianti periostei). Questi impianti sono costituiti da griglie in titanio, realizzate attraverso il sistema CAD-CAM e la TAC 3D, che si inseriscono sulla superficie dell'osso anziché al suo interno come, invece, accade con gli impianti dentali classici. Su queste griglie vengono inseriti i denti fissi a carico immediato lo stesso giorno dell'intervento.
Il rigetto non esiste in quanto il materiale utilizzato in implantologia, il titanio, è perfettamente biocompatibile e pertanto non viene riconosciuto come corpo estraneo dal nostro organismo. Può tuttavia esserci, in una piccolissima percentuale di casi, la mancata integrazione dell'impianto. In tal caso però il problema viene risolto inserendo gratuitamente un altro impianto.
Il tempo necessario per un intervento implantare non è sempre quantificabile in quanto esistono molte variabili e imprevisti possiamo però fare una stima in base alla nostra esperienza. Nel caso di impianti singoli può essere sufficiente anche mezz'ora. In caso di implantologia mini invasiva, computer assistita, per un'intera arcata possono bastare 60-90 minuti. I tempi possono allungarsi in caso d'implantologia tradizionale.
Assolutamente no, il paziente durante l'intervento non avverte alcun dolore in quanto viene adeguatamente anestetizzato con una semplice anestesia locale a base di mepivacaina o articaina.
Ai pazienti particolarmente paurosi offriamo anche un servizio di sedazione cosciente in collaborazione con un anestesista in studio. Tramite questa procedura eliminiamo l'ansia e la paura per ogni tipo di intervento, permettendo allo specialista di effettuare l'intervento in massima sicurezza.
L'approccio dell'implantologia guidata offre numerosi vantaggi ai pazienti perché guidata, appunto, da tecnologie digitali, nello specifico computer, scanner e radiografie digitali 3D.
L'intervento chirurgico in questo caso non solo garantisce una maggiore prevedibilità dei risultati, ma anche una maggiore precisione e una minore invasività.
L'implantologia guidata permette di eseguire un intervento senza incidere le gengive e senza punti di sutura perché pianifichiamo al computer la posizione esatta degli impianti sulla base della Tac Cone Beam eseguita. Successivamente attraverso una mascherina di posizionamento inseriremo in modo facile e veloce gli impianti senza eseguire alcun apertura di gengiva. Non incidere le gengive significa guarigione rapida e riduzione al minimo dei dolori e gonfiori post operatori.
È un intervento preliminare che si deve eseguire quando l'osso per inserire impianti nella zona posteriore del mascellare superiore è insufficiente o assente a causa della perdita dei denti. Grazie all'implantologia moderna computer assistita e ad altre innovative tecniche implantari gli interventi preliminari di “Grande rialzo del seno mascellare” li abbiamo notevolmente ridotti.
Non esistono limiti di età. Anche le persone anziane possono richiedere l'inserimento di un impianto dentale. Nel caso di ragazzi al di sotto dei 19 anni bisogna, invece, sempre aspettare la conclusione dello sviluppo osseo.
La risposta è si. È la nostra specialità. Chi decide di sostituire la dentiera con l'applicazione di una protesi fissa su impianti dentali si accorge presto degli innumerevoli vantaggi rispetto alla protesi mobile.
Esistono ormai in letteratura pubblicazioni scientifiche che attestano il buon funzionamento di protesi su impianti dopo molti anni dal loro inserimento. La nostra struttura ha esperienza pluriennale sulle tecniche implantologiche ed è allineata con i dati della letteratura internazionale. Ovviamente nella protesi implantare assumono un'importanza fondamentale i controlli periodici, l'igiene domiciliare e l'igiene professionale.
La parodontite è una delle principali cause della caduta degli elementi dentali. Molte forme di parodontite possono essere curate con l'igiene sopra e sotto gengivale e la laser terapia tecniche queste che da tempo utilizziamo nei nostri studi. Tuttavia la piorrea, che è una forma grave di parodontite, difficilmente può essere curata. In tal caso la perdita inevitabile dei denti naturali può tranquillamente essere compensata dall'inserimento di alcuni impianti dentali.
Sì. Con i nuovi denti su impianti potrete mangiare, mordere, parlare e sorridere come facevate prima con i denti naturali.

Dott. Leonardo Resta Professionalità, qualità ed esperienza
Laureato nel 2000 in Odontoiatria e protesi dentaria presso l’Università degli Studi di Bari con 110 su 110 e tesi sperimentale in Chirurgia Maxillo-Facciale e Implantologia.
Titolare di laboratorio odontotecnico dal 1986 fino al 1995 con specializzazione nel campo della protesi dentale fissa.
Iscritto all’Ordine dei Medici Chirurghi e degli Odontoiatri della provincia di Bari.
Perfezionato nel 2009 in Parodontologia (malattie delle gengive e recupero dei denti naturali) all’Università di Chieti con il prof. Paolontonio.
Presidente dell’Associazione Italiana Odontoiatri della sezione di Bari dal 2006 al 2010.
Riceviamo pazienti da ogni parte d'Italia presso il nostro studio di:
Gioia del Colle (Bari)
Via Dante Alighieri, 78/A 70023 Gioia del Colle (Bari)
Bari
Via Salvatore Matarrese, 36 70124 BARI
Cerchiamo di concentrare e ridurre al minimo le sedute in modo da favorire i pazienti che vengono da lontano
ed eseguire il lavoro nel più breve tempo possibile.
dott. Resta Leonardo iscritto al n.1099 dell’albo degli Odontoiatri dell’Ordine dei Medici di Bari




